Biomolecular systems

editorImage
Editor: Prof. Peter H. Seeberger
Max Planck Institute of Colloids and Interfaces
 
Biomolecular systems research is currently one of the most important scientific areas, interconnecting researchers from medicine, pharmacology, biology and chemistry. Based on its interdisciplinary background it covers, but is not limited to, the identification of core structures, the design and (automated) synthesis of targeted molecules, as well as their investigation in biological systems. The current Thematic Series aims to provide an insight into this highly diverse and interesting scientific field.
Back to all Issues

Synthesis of D-manno-heptulose via a cascade aldol/hemiketalization reaction

  • Yan Chen,
  • Xiaoman Wang,
  • Junchang Wang and
  • You Yang

Beilstein J. Org. Chem. 2017, 13, 795–799, doi:10.3762/bjoc.13.79

Graphical Abstract
PDF
Album
Supp Info
Letter
Published 28 Apr 2017

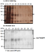
Expression, purification and structural analysis of functional GABA transporter 1 using the baculovirus expression system

  • Jing Hu,
  • Chris Weise,
  • Christoph Böttcher,
  • Hua Fan and
  • Jian Yin

Beilstein J. Org. Chem. 2017, 13, 874–882, doi:10.3762/bjoc.13.88

Graphical Abstract
PDF
Album
Supp Info
Full Research Paper
Published 11 May 2017

Total synthesis of TMG-chitotriomycin based on an automated electrochemical assembly of a disaccharide building block

  • Yuta Isoda,
  • Norihiko Sasaki,
  • Kei Kitamura,
  • Shuji Takahashi,
  • Sujit Manmode,
  • Naoko Takeda-Okuda,
  • Jun-ichi Tamura,
  • Toshiki Nokami and
  • Toshiyuki Itoh

Beilstein J. Org. Chem. 2017, 13, 919–924, doi:10.3762/bjoc.13.93

Graphical Abstract
PDF
Album
Supp Info
Full Research Paper
Published 16 May 2017

Glyco-gold nanoparticles: synthesis and applications

  • Federica Compostella,
  • Olimpia Pitirollo,
  • Alessandro Silvestri and
  • Laura Polito

Beilstein J. Org. Chem. 2017, 13, 1008–1021, doi:10.3762/bjoc.13.100

Graphical Abstract
PDF
Album
Review
Published 24 May 2017

Urea–hydrogen peroxide prompted the selective and controlled oxidation of thioglycosides into sulfoxides and sulfones

  • Adesh Kumar Singh,
  • Varsha Tiwari,
  • Kunj Bihari Mishra,
  • Surabhi Gupta and
  • Jeyakumar Kandasamy

Beilstein J. Org. Chem. 2017, 13, 1139–1144, doi:10.3762/bjoc.13.113

Graphical Abstract
PDF
Album
Supp Info
Full Research Paper
Published 13 Jun 2017
Graphical Abstract
PDF
Album
Supp Info
Letter
Published 16 Jun 2017
Other Beilstein-Institut Open Science Activities